Cette jeune fille est très embarrassée par ces fissures unguéales bilatérales des deux pouces apparues depuis la naissance . Quel
Read More »Thémes
Tumeurs néonatales
Le nourrisson K.A, agé de 20 mois est en retard psychomoteur, il présente des Tumeurs néonatales péri-orificielles, avec une anémie à 8.8g/l et une hyperleucocytose à 44500 éléments, la biopsie des tumeurs a montré une image de granulomes pyogéniques sans signe spécifique, quel diagnostic évoquerez vous et quel bilan faire? » leucémie? déficit en zinc? maladie de Cowden? »
Read More »Déficit immunitaire
Depuis l’age de 2 ans, l’enfant S.A développe des abcès multiples diffus chauds dont la bactériologie
Read More »Alopécie cicatricielle.
Alopécie cicatricielle.
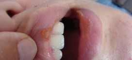
Read More »Cheilite
cette fille de 16 ans présente depuis quelques années une Cheilite en îlots résistante aux traitements symptomatiques, à quel diagnostic doit on penser?
Read More »Tumeurs post operatoires
C’est un garçon de 12ans,il a subi une cure herniaire droite à deux reprise en 2003 et 2005 du même coté et suivi une année après des lésions types vésiculeuses suintantes et douloureuses aux bourses, hyperpigmentation de la cuisse droite et une lesion type gomme en posterieur de la cuisse. Devant ces Tumeurs post operatoires on pense plus à un …
Read More »Erytroplasie
Devant cette lésion érythémateuse isolée et fixe du gland, chez un jeune homme de 20 ans qui refuse la biopsie,
Read More »Insertion unguéale
Comment appelle-t-on cette insertion unguéale vicieuse?
Read More »Pigmentations
Cette fille de 6 ans, bien portante, présente spontanément et sans lésions pré existantes ni application de crème …ces pigmentations diffuses,linéaires et arciformes.
Read More »Cheveux bouclés spontanés
Cheveux bouclés spontanés. La protéine porteuse 5 de l’insulin growth factor (IGFBP-5) est impliquée dans la forme de la tige pilaire. Les auteurs ont étudié des cheveux bouclés
Read More »